How can I stop clenching my teeth at night? Studio Dentaire’s advice
Wondering how to stop clenching your teeth at night? Studio Dentaire in Lyon 3rd explains the causes of this phenomenon, and how to combat it with tailored in-office care.
Nocturnal bruxism: a widespread phenomenon
Nocturnal bruxism (or teeth-clenching while asleep) is a common unconscious mechanism, accounting for around 80% of all cases of teeth clenching. Affected individuals involuntarily clench or grind their teeth while asleep. They are unable to relax their jaws because they are asleep at the time. Sometimes they don’t realize it, and it’s often the spouse who notices. It’s also common for clenched teeth to cause jaw pain that’s still there when you wake up. This is a sign to seek medical advice.
What causes teeth grinding?
The causes of nocturnal bruxism can be difficult to identify, but are often linked to emotional stress or, in some cases, to the use of certain medications. For effective treatment, therefore, the first step is to identify with certainty the origin of the phenomenon.
What are the consequences of bruxism?
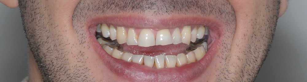
Repeated teeth grinding during sleep can prove disabling if the problem persists over time. Grinding can lead to progressive wear of tooth enamel (the “filed teeth” effect), and can even hollow out the occlusal surfaces used for chewing. Bruxism can also cause jaw pain, temporomandibular joint problems, fractures and nerve damage. It can also cause headaches, disrupt breathing at night and even lead to sleep apnea. Tooth sensitivity to cold, hot or acidic foods is also increased.
How can I stop grinding my teeth in my sleep?
When the cause of bruxism is psychosomatic, better stress management or therapy can of course help. But when night-time teeth grinding becomes an ingrained habit, it can be difficult to stop the phenomenon without specific treatment. Wearing an occlusal splint at night is often recommended. Custom-made in flexible, transparent resin from an impression of your teeth, it relaxes the jaw muscles and relieves any pain. Without realizing it, you gradually get used to no longer clenching your teeth, until the mechanism stops on its own. The lifespan of a mouthpiece is 3 to 5 years. So if you brux at times of stress, you can easily reuse them when you need them again.
Studio Dentaire in Lyon 3ème offers you tailor-made support to combat nocturnal bruxism. After an oral assessment to establish the causes of teeth grinding, we take a digital impression of your teeth in our office and have your mouthpiece made in a partner laboratory. You then return to the office for a fitting and possible adjustment. Our team will also advise you on how to care for your mouthpiece to ensure its long-lasting use.





